随着医疗技术的不断发展,种植牙技术日益普及,凭借良好的美观性和咀嚼功能,种牙成为越来越多老年人修复缺牙的首选方案,但由此引发的医疗纠纷也屡见不鲜。福州八旬老人柯女士怎么也没想到,一次本为提升生活质量的种植牙手术,竟演变成一场长达六年的噩梦。
近日,福州八旬老人柯女士向海峡网爆料称,自己的右侧上颌牙曾因外伤松动后拔除了3颗,2019年4月,她来到福州同福医口腔连锁湖东店(以下简称“同福医湖东店”)做种植牙手术,同福医将她右侧剩余的8颗上颌牙全部拔除,种植5颗假牙连带上周边几颗,总花费近6万元。谁知道,钱是花了不少,可牙却越搞越坏。
“80岁生日礼物”成噩梦开端
“那时候正好是我80岁生日,想着弄一口好牙提高下以后的生活质量。因为平时经常看到同福医的广告,我老伴之前也在那边种过几颗牙,出于对这个品牌的信任,我们就接受了他们的种植牙方案。”术后,柯女士经历了面部肿胀、用单侧牙齿进食的痛苦恢复期。然而,半年后安装的牙冠仅使用半个月就脱落了,只好又回到同福医重新安装。

2019年4月2日的同福医病历显示,建议柯女士拔除8颗牙,种入5枚种植体。海峡网记者 李牧晨 摄
此后,牙冠反复脱落,柯女士花费大量时间,多次往返医院安装。“一开始是同福医的院长郑晓玲做的种植牙手术,后来牙冠脱落了都是年轻医生为我处理,每次都要磨两个多小时才能装上。”柯女士回忆道,自己还专门买了把儿童牙刷,每天刷牙和吃饭的时候都特别小心,生怕牙冠再次脱落。

柯女士目前刷牙一直使用的是儿童牙刷。海峡网记者 李牧晨 摄
2022年10月,柯女士第三次因牙冠脱落就医时,医生发现不仅牙冠无法安装,连种植体上的螺丝都掉了出来。经检查,柯女士上颌的5枚种植体中,有2枚已无法使用。“当时是郑晓玲做的检查,她并没有跟我说清楚为什么中间两颗牙不能装牙冠了,只是给出两套治疗方案:一个方案是将左侧的上颌牙也拔除几颗做成种植牙,连带补上中间的几颗。另一个则是以活动义齿的形式修补中间的牙。”考虑到继续拔牙做种植牙对身体的损伤,柯女士最终选择了后者。然而,活动义齿频繁脱戴导致她左侧健康牙齿也出现松动,严重影响了她的食欲和精神状态。

2022年10月27日的同福医病历显示,柯女士有2枚种植体折断,但柯女士表示当时医生并没有将这一情况明确告知自己。海峡网记者 李牧晨 摄
家属介入,控诉机构“不作为”
2024年,柯女士的儿子林先生发现母亲健康状况急剧恶化,才得知种植牙的遭遇。“我父母虽然已是八九十岁高龄,但身体保养的都还不错,平时身子骨也很硬朗。那段时间,我母亲双颊凹陷、眼圈发黑,每天吃的是软食,让人十分担忧。”林先生随即与同福医湖东店交涉,要求院方高层出面并给出解决方案。

林先生与同福医林姓店长的沟通记录,从2024年3月到6月,一波三折,一直没有公司领导出面。海峡网记者 李牧晨 摄
“从3月到6月,一位林姓店长一直跟我道歉,表示会向上汇报,但始终没有下文。”林先生说。直到6月底,另一位郭姓副总经理才与林先生对接。郭提出,考虑到柯女士现阶段的年龄因素,在治疗过程中可能存在一定风险,建议柯女士先去公立三甲医院拔除左侧上牙区域的牙齿,待三个月后再考虑由同福医修复,费用由同福医承担。


林先生与同福医郭姓副总的沟通记录,郭提出可以带柯女士去公立三甲医院拔除左侧上牙,后续再到同福医修复。海峡网记者 李牧晨 摄
林先生对此表示疑惑,为什么先前母亲80岁的时候就敢一次性拔除右侧那么多颗牙,如今才考虑到风险,建议去三甲医院拔牙?在林先生看来,同福医的这份治疗方案缺乏诚意,也未明确责任归属,如果后续还是由同福医为母亲做牙齿修复,他不放心。为了能尽快解决母亲的吃饭问题,他先带着母亲前往福建医科大学附属口腔医院做了检查。
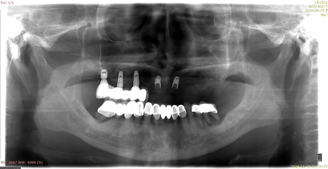
经检查发现,柯女士上颌中间的两枚种植体,其中一枚基台折断,螺丝也有部分折断在植体里,另一枚连部分植体都断裂了。医生告知,若想继续做种植牙,需要先剖开牙床取出两枚坏掉的种植体才行,这对一位高龄老人来说损伤太大。2024年11月,柯女士选择在口腔医院完成了几颗上颌牙的活动义齿修复。

柯女士的牙齿拍片显示,中间上颌牙种植的两枚种植体已有断裂。林先生 供图

柯女士的牙齿拍片显示,中间上颌牙种植的两枚种植体已有断裂。林先生 供图

口腔医院医生表示,柯女士其中一枚种植体基台折断,螺丝也有部分折断在植体里,另一枚连部分植体都断裂了。林先生 供图
“我母亲当时80岁高龄,一次性拔那么多颗牙做种植牙,并且还在装上牙冠之后问题频发,折腾了这么多年,现在又发现种植体断裂。我认为同福医从前期术前检查、种植牙选材和技术,以及服务态度都有很大的问题,我们高度怀疑这是一起医疗事故,同福医郑晓玲院长应该出面跟我们道歉,并且由同福医承担我母亲的全部治疗费用。”林先生称,他将诉求告知郭副总后,对方表示会向公司反映并持续跟进,但随后3个多月杳无音讯,近日连电话也无人接听。

林先生与同福医郭姓副总的沟通记录到11月16日,对方后续三个多月都未回复。海峡网记者 李牧晨 摄

同福医口腔湖东店。海峡网记者 李牧晨 摄
3月22日下午,记者跟随柯女士和林先生一家来到同福医湖东店,出面接待的黄姓店长告知,由于工作调动,原先的林店长已经不再担任湖东店店长一职,自己是今年刚从西湖店调来。黄店长表示,自己也暂时联系不上管理层,由于并不了解事情的具体情况,只能先做记录并向上级反映。林先生要求要求同福医管理层出面表明态度,尽快提出解决方案,并在三个工作日之内给予回复。
截至发稿前,同福医仍未给出具体意见,黄店长仅是来电告知郭姓副总经理目前在国外。本网将持续关注此事进展。
